054-620-3717
お問合せ

10月 診療カレンダー




1234
567891011
12131415161718
1920
2122232425
262728293031

11月 診療カレンダー



1
2345678
9101112131415
16171819202122
23242526272829
30

休診

午後休診

午前休診

火曜午後はオペ(手術)のため休診となります。

志太記念脳神経外科

Instagram公式ページ

志太記念脳神経外科

Facebook公式ページ

脳検診

※現在脳検診の予約は受付ておりません。なにか気になる症状のある方は直接外来診察へお越しください。

はじめに

脳検診では主に脳血管の破裂リスクとなる脳動脈瘤、老廃物などで血管が詰まる脳梗塞、そして脳腫瘍や脳萎縮などの有無を調べることができます。また、無症候性脳梗塞の発見の実績もあり、脳の中にこうした異常があることがわかれば、大きな脳梗塞、脳出血、くも膜下出血など、重篤な脳疾患を未然に防ぐことが可能です。

また、当院では、従来型のトンネル型MRI(1.5T)に加え、オープン型MRI(0.4T)も導入しており検査時の圧迫感がより軽減されています。閉所恐怖症の方など、希望のある方は予約受付時にお伝え下さい。


1.5T MRI トンネル型(室内風景)

1.5T MRI トンネル型(室内風景)

0.3T MRI オープン型

0.4T MRI オープン型

脳検診とは

心電図や血液検査は市の検診でやってるから、頭だけ診てほしい・・・という方は脳検診という頭のMRIだけの検査をしております。

検査内容

◇ 画像診断 / 頭部MRI(T2,T2*,FLAIR)、脳動脈MRA(3D-TOF)

◇ 問診


検査結果について

基本的に検査当日に説明を致します。

※診療状況により、後日になる場合もあります。




当日の診療状況によりお受けできない場合もありますのでご了承下さい。


MRI検査の注意事項

  • ペースメーカーを装着している方
  • 手術等で体内に金属が入っている方
  • 妊娠の可能性がある方、妊娠されている方

上記の方は検査を受けられない場合もありますので、事前にご相談下さい。


※次のものは故障したり検査に影響を及ぼすことがありますので、検査前に必ず取り外して下さい。

  • 金属物(時計、眼鏡、鍵、ライター、ヘアピン、携帯電話等)
  • 磁器カード(キャッシュカード、テレホンカード等)
  • その他(取り外しのできる義歯、補聴器、カイロ、湿布等)


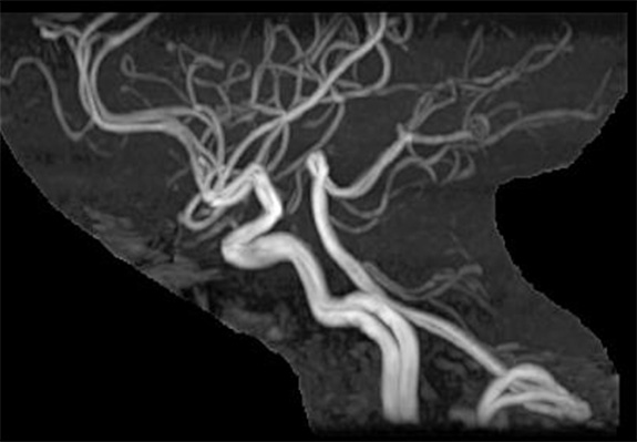
頭のMRI検査で分かること。

頭の中の動脈の血管です。

横回転で12方向、縦回転で12方向の計24方向の頭部動脈の写真を作りいろいろな角度から観察します。この写真は横回転、縦回転の中の一枚ずつの写真です。

この画像で血管の途中が狭くなっていたり無くなっていないかを見たり、未破裂動脈瘤と言って血管にコブみたいなものが出来ていないか確認することができます。


脳の輪切りです。

脳を8㎜の厚さで輪切りに頭の天辺から下まで16枚で撮影した写真の一枚です。左からフレアー、T2、ディフュージョン、T2スターの順番です。病気を予防、発見、治療するためには大事な写真です。


症例

未破裂動脈瘤(頭部血管)

未破裂動脈瘤(頭部血管)

血管狭窄(頭部血管)

血管狭窄(頭部血管)

無症状脳梗塞(T2、フレアー)

無症状脳梗塞(T2、フレアー

脳腫瘍(T2、フレアー)

脳腫瘍(T2、フレアー)

微小出血(T2スター)

微小出血(T2スター)

診断結果について

脳検診は、「100%正確な診断ではない。」ということをご理解ください。

  • 脳検診の診断は、MR検査装置で撮影した画像を見て医師が診断を行います。脳MRI画像からの診断だけでは診断精度に限界があり、場合によっては病変の読み過ぎや見逃しなどの可能性もあります。
  • 検査後は、生活環境や身体状況の変化で病気を発症する場合もありますので、検査結果がその後も同様に継続することを保証するものではありません。
  • 異常所見が見られた場合は後日さらに精密検査が必要な場合があります。


当院で実施できる精密検査

血管造影検査(DSA装置)  頭部造影3D-CT  頭部ダイナミックCT  頭部CT/Perfusion

超音波(頚動脈、心臓) 脳波 24時間心電図 ABR MRI/VSRADなどがあります。